What is the Difference Between a CT Scan and an MRI?
Posted on February 25, 2022
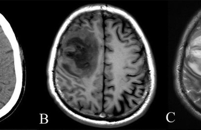
While both CT scans and MRIs have unique benefits, there are significant differences between them. Most notably, a CT scan detects changes and ...
Read More
Posted on February 25, 2022
While both CT scans and MRIs have unique benefits, there are significant differences between them. Most notably, a CT scan detects changes and ...
Read More
Posted on February 18, 2022
Even if you feel healthy and have few health issues, men over the age of 65 should visit their health care provider regularly. The purpose of these ...
Read More
Posted on February 14, 2022
Heart disease is the number one leading cause of death for Americans. From the foods we eat to the activities we participate in, heart disease lingers...
Read More
Posted on February 10, 2022
Did you know that 1 in 2 women and 1 in 3 men in the United States will develop cancer at some point in their lifetime? This grim statistic from ...
Read More
Posted on February 3, 2022
February is National Cancer Prevention Month, and to start things off, there is no guarantee that one can avoid a cluster of cancer cells forming in ...
Read More
Posted on February 2, 2022
Most Americans have become increasingly aware of heart disease over the last decade. However, few realize that heart disease is the number one killer ...
Read More