Echocardiogram vs. EKG – What’s The Difference?
Echocardiogram (ECG) vs EKG
If your doctor is concerned about your heart, they may order specific types of cardiac testing to get a clearer picture of your health. The two main types of initial cardiac tests are an echocardiogram and an EKG. If you are scheduled for one of these tests, it is important to understand them and their differences.
What are the differences between an echocardiogram (ECG) and an EKG?
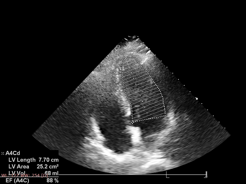
An echocardiogram is a type of non-invasive heart test that uses ultrasound imaging to produce pictures of your heart. It’s also called an echo or sonogram because it uses sound waves transmitted by a probe placed on your chest to create images in real time.
An echocardiogram can provide your doctor with information about various aspects of your heart, including:
- How well your heart valves are working
- Whether there’s fluid building up in your chest cavity around the heart
- How well the blood flows through your heart.
- If the muscles of the lower chambers of your heart (the ventricles) are enlarged or thickened because of disease
An EKG (or electrocardiogram), on the other hand, measures the electrical activity of your heart. This test records the timing and strength of each heartbeat as well as how regular they are. An EKG can help diagnose heart conditions such as a heart attack, abnormal rhythms (arrhythmias), and heart failure. An EKG is the most commonly ordered heart test and most patients will receive this test first before doctors order additional cardiac testing.


Many people confuse the EKG with an ECG (electrocardiogram), but they’re not exactly the same thing. An ECG refers to the actual graphic recording of your EKG, which is represented as tracings on graph paper or computer screen displaying different waves over time. The areas where these electrical signals conduct are called leads and there are 12 leads in total.
Both tests are common non-invasive diagnostic tools used by doctors to assess heart health, but an echocardiogram is often seen as more detailed because it provides images of the heart.
If you’re having chest pain, either test can be used to help determine whether or not you’re having a heart attack. Talk to your doctor about which one might be right for you.
Our Wide Range of Cardiovascular Imaging Services
At ImageCare Radiology, we offer a wide range of cardiovascular imaging services for patients in New Jersey. Our northern New Jersey radiology services include:
- Cardiac CTA
- Cardiac MRI
- CT Scan of the heart and arteries
- Coronary Calcium Artery Scoring
- Nuclear Stress Tests
- Vascular Ultrasound
- And more
Contact Our New Jersey Radiology Team
If your doctor has requested an echocardiogram or an EKG, call us immediately. You can trust us to provide extraordinary radiological services for you at every stage of your health. We know that you and your medical team need timely answers, so you can begin treatment or discuss options. That is why we are committed to serving you quickly and efficiently.
Our radiology and imaging centers believe in providing exceptional imaging services whenever you need us. If your doctor requests imaging services, give us a call today at 973-871-3333 to schedule an appointment or complete our convenient online appointment request form.