March is Multiple Sclerosis Awareness Month
Multiple Sclerosis Awareness Month takes place every March, and this year is no exception. The goal of this awareness campaign is to help the public understand the issues and complications associated with this neurological disease. Throughout the month, organizations and advocacy groups will focus on raising awareness to help others gain a better understanding of the disease.
What is Multiple Sclerosis?
Multiple Sclerosis is a chronic, lifelong disease that affects nearly 1 million people in the United States. Most patients with this disabling neurological condition receive a diagnosis between the ages of 20 and 50, and the vast majority are women. In fact, the National MS Society estimates that MS is three times more common in women than men.

This neurological condition occurs when the immune system attacks the protective sheath, or myelin, that covers nerve fibers. As the immune system attacks the myelin, it causes communication problems between your brain and the rest of the body. This can result in permanent nerve damage. Depending on the severity of the nerve damage, people with MS may lose the ability to walk or control some of their bodily functions.
Multiple Sclerosis is Difficult to Diagnose
The course of this disease is unpredictable and life-changing. Individuals with MS experience a wide range of symptoms, and no two people have the same combination of symptoms. For this reason, MS is often difficult to diagnose.
One report, published in 2017, found that one-fifth of European women with Multiple Sclerosis received at least one misdiagnosis. In addition, most women went through roughly five different visits with healthcare providers before reaching an accurate diagnosis. As such, testing and screening are incredibly important to helping doctors diagnose and treat multiple sclerosis.
Unfortunately, there is no one test that can accurately diagnose Multiple Sclerosis. To obtain an accurate diagnosis, healthcare professionals must perform a neurological exam, along with a series of other tests, including:
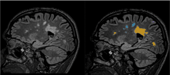
- MRI: An MRI can show lesions on the brain and spinal cord, which can be indicative of MS. Patients may also undergo a contrast MRI to highlight lesions when MS is in an active phase.
- Spinal fluid analysis: A small sample of cerebrospinal fluid is drawn to check for abnormalities in MS antibodies.
- Blood tests: These tests can check for specific biomarkers that can aid in diagnosing MS.
- Evoked potential tests: These tests record electrical signals. Electrodes measure how quickly this information travels through your CNS. Slow response times may indicate issues, such as MS.
At ImageCare Radiology, we offer a wide range of diagnostic imaging services for anyone undergoing testing for Multiple Sclerosis. This includes MRI scans to help doctors locate lesions or plaques which can cause Multiple Sclerosis.
To enhance your care, ImageCare has introduced icoBrain Artificial Intelligence which helps diagnose Multiple Sclerosis. icoBrain MS provides clinicians with easy-to-interpret reports to support the detection of MS and can compare changes of white matter lesions between current and previous exams. The exam does not require an extra authorization or an additional charge. It will be run on all patients exhibiting symptoms of MS or patients under 50 years of age exhibiting numbness, tingling or loss of sensation. This sequence does not require an additional precertification nor will the patient incur any additional costs.
We also provide neuro MRIs, CT scans, ultrasounds, and other imaging services that might help medical professionals arrive at the right diagnosis for you.
Call ImageCare Radiology Today
If your doctor has requested any type of imaging service to help you diagnose your issues, give us a call today at 973-871-3333 to schedule an appointment or complete our convenient online appointment request form. Please be sure to schedule your appointment at the facility that offers the services that you require.